The SurgicalMaster Bone Grafting Hands-On Course is a comprehensive, live training designed for general dentists who want to master predictable and profitable bone grafting techniques.
Led by Dr. Ziv Simon and a team of expert clinicians, this two-day course in Beverly Hills covers >90% of the bone grafting procedures commonly needed in a general private practice.
From socket management to phlebotomy and PRF processing, you’ll gain essential skills with step-by-step protocols that you can apply right away.
Join us to transform your approach to bone grafting and elevate your practice.
If failed grafts leave you frustrated, confused about where to begin, or hesitant to even try – this is for you. You’ll gain clear, simplifed protocols crafted by top specialists, empowering you to approach every case with confidence and precision.
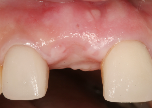
This course follows a step-by-step journey, transforming a blood draw into a site ready for a high-quality dental implant. Each stage, from PRF preparation to bone augmentation and soft tissue management, is designed to ensure predictable outcomes and exceptional patient care.
Get success with a well-thought-out augmentation plan.
Learn how to evaluate the site, choose the right bone graft material and membrane, identify challenges, and create a clear plan of action for predictable results.
Basics of phlebotomy taught by experts.
Learn the step-by-step process of drawing blood from your patients so that you can efficiently and successfully process high-quality PRF.
The power of growth factors and sticky bone.
Learn how to process drawn blood to create PRF and prepare grafting materials, including sticky bone, for optimal site regeneration and simple use of a centrifuge to prepare PRF liquid, PRF membranes, and PRF plugs.
Identifying the damage & the regenerative potential
Learn to assess the site to determine its condition and develop a tailored approach for effective regeneration, predict success, disinfect it, and make sure it’s vascular for success.
Build and reshape the graft site to achieve optimal structure.
Learn techniques for bone condensation, graft containment, and volume enhancement within the patient’s potential to regenerate and to create a solid foundation for implants. How to think through and choose the bone graft for each case.
Securing Collagen and PRF membranes
Learn how to shape, position, and use different types of membranes to stabilize graft material and ensure containment for predictable outcomes. Learn the properties of collagen and PRF membranes and how to best use them.
Seal the site and optimize soft tissue healing.
Master suturing techniques and soft tissue handling to promote integration, protect the graft, and enhance overall esthetics. Included here are PO instructions protocol and Rx given for successful outcomes.
The criteria to evaluate sites for readiness for implant placement.
Learn how to assess the quality and quantity of regenerated bone and soft tissue, determine implant readiness, and understand next steps for achieving long-term success. This essential skill sets the stage for advanced implant placement techniques.
“I was stalling in my career… Now I’m doing surgery, and I feel more confident. There’s more authority and I’m selling more cases.
Ziv and Rashad are genuinely helping dentists grow.”
This course doesn’t just teach you the concepts—it gives you the hands-on skills you need to succeed in real-world applications. Taught by experienced specialists, you’ll gain practical insights and techniques that are immediately applicable to your practice. Participants will engage in practical exercises.
Gain confidence with hands-on practice drawing blood on both models and live participants. Learn the intricacies of phlebotomy from the experts. Each participant will learn the armamentarium of blood draw and to use it with a clean technique for fast processing.
Learn the exact steps to process blood in a centrifuge—press the right buttons, manage timing, and handle materials to create liquid PRF, PRF membranes, and PRF plugs.
Master the art of mixing PRF with bone graft materials to create sticky bone—a key technique for optimal site regeneration. Learn how to use the patient’s processed blood with the bone graft indicated for the case to create a mouldable substance with easy handling for bone grafting.
Practice shaping, positioning, and securing collagen and PRF membranes for graft containment and site stability. Learn how to use PRF membranes to improve healing. Understand the principles of easy stabilization of the membranes.
Practice grafting and suturing techniques on models representing different clinical scenarios, allowing you to refine your approach to challenging cases.
Dr. Ziv Simon is a Diplomate of the American Board of Periodontology and Implant surgery and a Fellow of the Royal College of Dentists of Canada in the discipline of periodontology. He has service his practice in Beverly Hills for 20+ years.
Dr. Rashad Riman is a leading practitioner of biomimetic, implant, and high-end cosmetic dentistry with feldspathic porcelain in Beverly Hills, California.
Dr. Lenny Naftalin is a dentist anesthesiologist that provides hospital-quality anesthesia and sedation services in dental offices through his mobile anesthesiology practice in Southern California. He is currently President of the American Society of Dentist Anesthesiologists.
Dr. Lloyd Herman is a distinguished periodontist and implant specialist with over 30 years of experience, and practices in Beverly Hills, California.
Dr. Brittany Sonnichsen is an accomplished oral and maxillofacial surgeon practicing in Los Angeles, CA.
Dr. Ari Rosenblatt is an periodontist and implant specialist with over 40 years of experience in periodontal surgery, implantology as well as soft and hard tissue augmentation.
This course is designed to elevate your skills, confidence, and profitability with reliable techniques that general dentists can implement right away. Here’s what you’ll take away:

Gain practical expertise in the bone grafting techniques you’ll use most frequently—90% of the essential, high-yield procedures general dentists need to confidently manage and elevate patient care.

Leave with crystal-clear, step-by-step protocols developed by top specialists. These proven methods will help you deliver predictable, reliable results every time, reducing stress and increasing patient satisfaction.

Set yourself apart by learning the rare skill of PRF (Platelet-Rich Fibrin) preparation, including phlebotomy and advanced growth factor techniques. This is a game-changer for enhancing healing and outcomes in grafting.

Expand your practice’s offerings with highly profitable bone grafting services, creating a new revenue stream that allows for immediate returns on investment while providing valuable care to your patients.

Access an in-depth playbook containing all protocols, step-by-step techniques, and key resources, providing you with a lifetime reference to support your work in the office.

Earn 16 CE credits supporting your professional growth and meeting licensing requirements.

Learn in the heart of Beverly Hills, known for its vibrant dining and ideal March weather, with potential tax-deductible benefits on course-related travel, lodging, and meals. Includes breakfast and lunch.
The Bone Grafting Live Hands-On Course
With tens of thousands of dentists graduating from our effective online courses and masterminds, attending live events, millions of views on social media, 10,000 person broadcast participation, thousands of book sales, and proprietary teaching aids now used around the world…
We are changing the game.
We’re lifting the monopoly on high-end knowledge, techniques, and treatment systems, so you can create a stable career that fulfills you.
As with all of my trainings, I offer a full money back guarantee.
I’m confident you will find the course useful and effective, however if you are unhappy in any way or feel that you did not receive the value you expected for any reason, we can terminate access and give you a full refund within 30 days.
To your surgical success, prosperity and happiness,
Diplomate of the American Board of Periodontology and Implant Surgery
“Dr. Ziv Simon is the GP’s best friend! He is committed to sharing his knowledge and experience. He takes the mystery and challenges of surgical procedures and breaks them down to easy to follow steps so they can be incorporated into our own daily practices.”
Dr. Carl Werts, Glendale, CA
SurgicalMaster is a great network with other doctors… and it’s not just a course, we get so much support.
Dr. Simon is a great teacher, he’s real. He doesn’t just show his success cases, he shows the complications. Other courses pump you up without talking about failures, then you go home and get disappointed. Here, they teach you how to deal with complications and how to talk to patients.
Dr. Arash Asil, San Clemente CA
“I want to personally thank Ziv and Rashad for everything you have taught me. The knowledge and wisdom that you have shared with me has been a great help throughout my career. My success is a great reflection of your mentorship.”
Dr. Brainard Llanes
This course provides step-by-step techniques to achieve predictable outcomes in bone grafting. You’ll gain hands-on experience with advanced methods, learn to manage challenging cases, and build confidence to apply these skills in your practice.
This course is ideal for dentists aiming to enhance their bone grafting skills, whether you’re new to the procedure or seeking to refine your techniques. It’s especially beneficial for practitioners looking to handle complex cases or integrate grafting more confidently into their practice.
Yes! The course accommodates both beginners and those with some experience, covering foundational concepts and building upon them with advanced techniques.
The course focuses on socket preservation and ridge augmentation techniques. You’ll learn practical approaches to achieve predictable outcomes and manage various clinical scenarios effectively.
The course includes a combination of engaging lectures, live demonstrations, and hands-on practice, with opportunities for questions and personalized feedback.
The hands-on portion of the course will take place at Dr. Ziv Simon’s and Dr. Rashad Riman’s practices in Beverly Hills. These state-of-the-art facilities provide the perfect environment for practical, real-world learning.
All necessary tools and materials for the hands-on portion are provided. Attendees will also receive a comprehensive course manual and additional resources to take home.
Yes, you can bring a staff member to the course for an additional cost of $750 per member. This is a great way to ensure your team is aligned and ready to implement the techniques in your practice. Please reach out to help@surgicalmaster.com to register.
The course will be held in Beverly Hills, CA 90210.
The course spans two full days:
Day 1: 8:30 AM – 4:30 PM
Day 2: 8:30 AM – 4:30 PM
Breaks and lunch are provided each day.
Lunch and refreshments are provided on both days. Attendees are responsible for their own accommodations.
Here are some nearby accommodation options across different price ranges:
Luxury:
The Peninsula Beverly Hills
9882 South Santa Monica Boulevard, Beverly Hills, CA 90212
Website
Waldorf Astoria Beverly Hills
9850 Wilshire Boulevard, Beverly Hills, CA 90210
Website
Mid-Range:
SIRTAJ Hotel Beverly Hills
120 South Reeves Drive, Beverly Hills, CA 90212
Website
Beverly Hills Marriott
1150 South Beverly Drive, Los Angeles, CA 90035
Website
Budget:
Hotel Beverly Terrace
469 North Doheny Drive, Beverly Hills, CA 90210
Website
The Carlyle Inn
1119 South Robertson Boulevard, Los Angeles, CA 90035
Website
Airbnb Options:
If you’re looking for more flexible or cost-effective accommodations, there are many Airbnb listings in the Beverly Hills area, ranging from private rooms to entire homes. Prices typically range from $150 to $500 per night, depending on the property size and proximity to the venue. Visit Airbnb and search for properties near Spring Place Beverly Hills for options.
We accept major credit cards, PayPal, and other secure online payment methods.
Spaces are limited, so we recommend registering promptly.
Once you register, your tuition is locked in, regardless of future price increases.
We offer a money-back guarantee: If you attend both days and feel the course hasn’t met your expectations, let us know by the end of Day 2 for a full refund.
Yes! Attendees will earn 16 CE credits upon completing the course.
To ensure personalized attention and an optimal learning experience, we limit participants.
Absolutely. The course includes dedicated time for Q&A and direct interactions with the instructors to address your specific questions and challenges.
You’ll gain advanced bone grafting skills, confidence in handling complex cases, and practical tools to integrate these techniques into your practice. Many past attendees have reported improved outcomes, increased patient satisfaction, and greater case acceptance.
The closest airport is Los Angeles International Airport (LAX), approximately 12 miles from Beverly Hills.
Brighton Coffee Shop
Cuisine: Breakfast & Brunch
Price: $
Rating: 4.2/5 (Google Reviews)
Biography
Ziv Simon is a periodontist practicing in Beverly Hills, California. He obtained his dental degree from Tel Aviv University, where he held a teaching position in the Department of Prosthodontics. He received his periodontal graduate degree from the University of Toronto where he obtained a Master of Science degree in Periodontology.
He is a Diplomate of the American Board of Periodontology and Implant surgery and a Fellow of the Royal College of Dentists of Canada in the discipline of periodontology.
Dr. Simon has conducted scientific and clinical research on bone engineering, dental implants and soft tissue surgery and has published in peer-reviewed journals like Implant Dentistry, Journal of the California Dental Association, International Journal of Periodontics & Restorative Dentistry, Journal of the Canadian dental association and more.
Biography
Dr. Rashad Riman is a leading practitioner of biomimetic, implant, and high-end cosmetic dentistry with feldspathic porcelain in Beverly Hills, California.
He has extensive expertise in both the surgical and restorative aspects of dentistry and uses and teaches technologies such as laser, dynamic navigation, guided surgery and use of a microscope for patient care.
He is the co-founder of the SurgicalMaster platform with over 100,000 dentists globally. Dr. Riman is working to inspire and educate the next generation of dentists, sharing his expertise and passion for dental excellence.
As a practitioner, educator, and innovator, Dr. Riman is committed to elevating the standards of dentistry and providing his profession and patients with unparalleled expertise and care.
Biography
Currently, Dr. Naftalin is a dentist anesthesiologist that provides hospital-quality anesthesia and sedation services in dental offices through his mobile anesthesiology practice in Southern California. He earned his DDS degree from the USC School of Dentistry and completed a general practice residency at the Veteran’s Administration in West Los Angeles. He then completed the UCLA Dental Anesthesiology residency. Dr. Naftalin maintains a part time teaching position at the UCLA School of Dentistry in both the dental anesthesia and pediatric dental departments.
He is currently President of the American Society of Dentist Anesthesiologists. He served on the board of the California Society of Dentist Anesthesiologists. He is the past President of the American Dental Board of Anesthesiology where he remains as an oral board examiner and an exam developer. He is the past president and former editor for the Southern California Society of Dentistry for Children.
Dr. Naftalin is a dedicated family man and proud father to two energetic daughters. As a family, they enjoy beach time, biking, hiking, and skiing in the mountains. Well, Lenny enjoys these activities and forces his family to come along.
Biography
Dr. Lloyd Herman is a distinguished periodontist and implant specialsit practicing in Beverly Hills, California. With over 30 years of experience, Dr. Herman’s patient care combines advanced periodontal expertise, implant surgery and advanced bone augmentation procedures.
Over his many years of practice he has gained extensive experience in harvesting autogenous bio, using growth factors such as PRF and GEM 2 as well as the Khoury bone plate technique for augmenting resorbed ridges.
Dr. Herman specializes in laser periodontal surgery, titanium as well as zirconia implants, ozone disinfection therapy, and soft tissue augmentation, alongside a deep focus on nutrition and complete body healing.
Biography
Dr. Brittany Sonnichsen is an accomplished oral and maxillofacial surgeon practicing in Los Angeles, CA.
Dr. Sonnichsen graduated with a bachelor’s degree in psychology from Georgetown University in 2008, then attended dental school at the University of Connecticut, where she earned her Doctor of Dental Medicine (DMD) degree. Dr. Sonnichsen is board-certified by the American Board of Oral and Maxillofacial Surgery.
Biography
Dr. Ari Rosenblatt is an periodontist and implant specialist with over 40 years of experience in periodontal surgery, implantology as well as soft and hard tissue augmentation. He earned his Doctor of Dental Surgery (D.D.S.) from the University of Dusseldorf in West Germany and completed his Doctor of Dental Medicine (D.M.D.) and Periodontology Certificate at Tufts University.
In 1980, Dr. Rosenblatt founded the Periodontal and Implant Specialists practice in Beverly Hills. A dedicated educator, he has taught prosthetics at the University of Dusseldorf and periodontology at Tufts University, UCLA, and USC.
Dr. Rosenblatt has also delivered academic lectures across the United States and internationally. Dr. Rosenblatt’s contributions to the field of periodontics and implant dentistry have solidified his reputation as a leader and innovator in his profession.
This program transcends traditional CE courses, offering a transformative mindset and practical roadmap for transforming your approach to bone grafting and elevate your practice.
Copyright © Pranadent LLC |
Privacy Policy | Terms & Conditions