Welcome to the surgical master

Skills Assessment

Don’t worry, we won’t make you redo a dental school exam.

We’re here to provide the shortest and most cost-effective path for you to become an industry-leading dental surgeon.
Sound too good to be true? It’s not! We’ve been training over 30,000 general practitioners to perform successful surgery and use the exact same methods that Dr. Ziv uses himself.

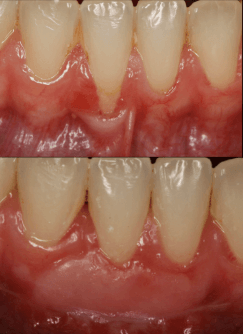
This short quiz will show you images of procedures before and after, and ask you what you’d like to learn. That way, we can send you free trainings that meet you exactly where you are.

So, if you’re ready to create predictable, growing income and serve your clients comprehensively with periodontist-level skills, click the button below to get started.

Step 1 of 28

1. Contact details

I’m probably placing about 100 implants a year now. And I think you could always learn and do better, and I want to feel more confident and do my cases at the same level as a qualified periodontist like Dr. Ziv.

I’ve had patients say, why did you send me to this doctor? Can’t you do it? And so I finally wanted to learn myself how to do it so that I can take better care of my patients.

Dr. Phil Mendelovitz | Los Angeles

It’s the ability to raise what you do to another level. I place implants and I haven’t done
very many soft tissue procedures, which is exactly why I took this course, just to boost
that knowledge and to boost the effectiveness and efficiency of what I do.

Dr. Derwin Munroe | Bahamas

Ziv is just a great teacher, and he’s real open so you feel comfortable asking him questions. He explains the difficulties he has and that helps me get over my difficulties.

Dr. John Thomas | Oklahoma

Some people are good practitioners, others are good educators, BUT a few people have both those things – and Dr. Ziv Simon has those. He understands treatment from beginning to end, ALL the complications, and is able to educate those especially when it comes to complications.

Gregori Kurtzman | DDS

“I used to not do much surgery at all, and since I started with SurgicalMaster, I’ve been doing a lot more surgery, has improved my bottom line and renewed my interest in dentistry.”

Dr. Patrick Yee | California

Surgical Master Logo